¿Qué ocurre si tengo colmillos amarillos?
¿Qué pasa si tengo los colmillos amarillos?
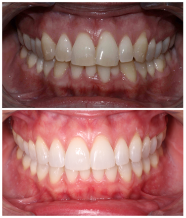
Blanquearse los dientes es algo que muchas personas han soñado. Sonreír sin complejos y mostrarse a los demás de la manera más juvenil y sana posible.
Sin embargo, en ocasiones la preocupación se refiere solo a “algunos” dientes, generalmente los “colmillos” y los premolares, que son los que están detrás de estos.
Y es lógico que nos preocupe: la armonía de una sonrisa es realmente importante para conseguir dientes blancos que llamen la atención. Mucho más que el tono final resultante.
Causas de los dientes amarillos
El hecho de que unos puedan ser “más amarillos” o “más oscuros” que otros responde a la estructura del diente. Cuanto más grueso es, más muestra la tonalidad amarilla de la dentina, la “segunda” capa del diente que hay detrás del esmalte.
En estos casos, suele ser preferible realizar blanqueamientos profesionales “a domicilio”. Y es que permiten aplicar el producto blanqueador durante un plazo largo de tiempo solamente en los dientes que necesitan aclararse más.
Esto permite que esos dientes consigan el mismo tono de blanco que los más delanteros, obteniendo un “mapa de color” uniforme.
Si en estos casos se realizan blanqueamientos en clínica, como se aplican durante un tiempo más corto de tiempo, se blanquean todos los dientes por igual.
Eso hace que se blanqueen, pero que al terminar el procedimiento con peróxido de hidrógeno en alta concentración, la diferencia de color siga existiendo. Lo que resulta menos estético.
Cómo blanquear mis colmillos amarillos
Siempre que haya diferencias de color entre los dientes es recomendable utilizar geles blanqueantes con PC o PAP en baja concentración. Aplicándolos siempre con ese criterio:
- Primero, en los dientes más amarillos
- Una vez tengan el mismo tono que los más blancos, se aplica sobre todos ellos
Así se consigue un resultado final armónico de manera sencilla y natural, sin grandes exposiciones a químicos en elevada concentración como ocurre en clínica.
Hay varios aspectos importantes durante este proceso de conseguir dientes blancos de manera uniforme:
- si usas peróxidos deberías evitar durante este proceso alimentos que puedan teñir los dientes. Salvo que uses Clarity, nuestra pasta con blanqueante activo, que te permite mantener una dieta normal.
- Aclarar los dientes es un proceso que lleva tiempo. no es inmediato, y varía mucho de persona a persona. Así que ten paciencia.
- Es mucho mejor blanquearlos que ponerse carillas. Puede que pienses que las carillas dentales son más rápidas o más efectivas, pero los dentistas recomendamos blanqueamiento en la mayoría de casos.
- Determinados alimentos deberían comerse con pajilla durante el trataemiento: sobre todo los que tienen mucho colorante, como el tomate frito, las espinacas...
- La falta de higiene puede ser un limitante para que el tratamiento funcione. Cuídala y tu estética dental mejorará. Incluso aunque no te hicieras un blanqueamiento dental.
Remedios caseros para colmillos amarillos
Pues no hay.
Ya está, es así de sencillo. Por mucho que lo intentes, no es posible aplicar durante el tiempo suficiente un remedio casero en uno de estos dientes. Nos encantaría decirte lo contrario, pero no es así.
Es más, puede que los pongas en peligro. Si una pieza dental tiene un tono amarillento y le aplicas por ejemplo limón... lo normal es que estropees su esmalte dental. El blanqueamiento tiene que ser mínimamente invasivo.
Limpiezas dentales para dientes amarillos
Esto sí que tiene sentido. Te lo confirmará tu dentista: en muchos casos las manchas se pueden eliminar rápidamente de los dientes con aeropulidores.
El color no cambia, pero si tu higiene no era impecable... pues un spray de agua y bicarbonato, por ejemplo, ayudará mucho.

Esto es muy habitual en las personas que llevan ortodoncia con brackets. La ortodoncia con brackets hace que sea difícil cepillar los dientes y muchas veces amarillean alrededor del bracket.

Utilizar pulido con agua y glicina también puede ayudarnos. Esto es algo que debe realizar siempre el profesional, y debemos evitar compras en aliexpress, igual que los correctores de color V34. Porque pueden producir más daño que beneficio.
La limpieza deberás realizarla aproximadamente una vez al año. Pero en algunos casos se realiza cada dos, si hay buena higiene y poco acúmulo de placa bacteriana. Y en otros cada menos, por ejemplo, cada seis meses.
En este caso, suele ser porque hay tendencia a acumular bacterias que producen pérdidas de hueso en la boca, algo peligroso porque los dientes podrían caerse.
Los enjuagues bucales no aclaran dientes amarillos
Este es el último punto que queremos abordar en esta entrada. No existen enjuagues bucales con blanqueadores reales. ¿Por qué? Bueno, pues... porque ninguno contiene PAP ni peróxidos.
Realmente el motivo de esto es que los peróxidos pueden irritar las mucosas, especialmente de la garganta. Y no hay tecnología PAP aún que se haya incluido, aunque nuestro equipo está trabajando en ella.
Así que, aunque veas muchas veces anunciado "blanqueamiento dental en enjuague", debes saber que esto no es así.
Y, aunque te decíamos que nuestro equipo trabaja en ella, es algo que queda al final de nuestros esfuerzos investigadores. Porque por otro lado el enjuague pasa poco tiempo en boca.
Si no hay contacto con el diente durante un tiempo suficiente, este no se blanquea. ¿Para qué entonces aplicarlo en un producto que solo está en unos segundos? Puede ser un coadyuvante, pero por el momento no hay una tecnología eficiente.
Como ves, hay mucha ciencia detrás del blanqueamiento de unos u otros dientes. Esperamos haberte ayudado en este post y que entiendas que es importante un mapa de color homogéneo para que tu sonrisa luzca bien.